Nhổ răng khôn là một trong những thủ thuật nha khoa phổ biến, nhưng nhiều người lo lắng liệu nhổ răng khôn có đau không, chi phí bao nhiêu, và nên thực hiện ở đâu tại Hà Nội để đảm bảo an toàn và hiệu quả. Trong bài viết này, chúng tôi sẽ giải đáp chi tiết các thắc mắc trên và gợi ý Nha khoa Navii – địa chỉ uy tín tại Hà Nội với đội ngũ bác sĩ chuyên môn cao và công nghệ hiện đại.
Nhổ Răng Khôn Có Đau Không?
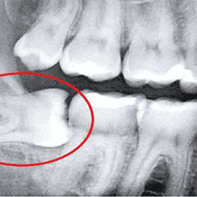
Nhổ răng khôn là một tiểu phẫu nha khoa nhằm loại bỏ răng số 8 (răng khôn) mọc lệch, mọc ngầm, hoặc gây đau nhức, viêm nhiễm. Theo các chuyên gia nha khoa, cảm giác đau khi nhổ răng khôn phụ thuộc vào các yếu tố như:
- Kỹ thuật gây tê: Trước khi nhổ, bác sĩ sẽ sử dụng thuốc tê cục bộ hoặc tiền mê để đảm bảo bạn không cảm thấy đau trong quá trình thực hiện.
- Công nghệ nhổ răng: Công nghệ hiện đại như Piezotome (sử dụng sóng siêu âm) giúp giảm thiểu tổn thương mô mềm, hạn chế đau và chảy máu so với phương pháp truyền thống.
- Tình trạng răng: Răng khôn mọc thẳng thường ít đau hơn so với răng mọc lệch hoặc mọc ngầm.
- Tay nghề bác sĩ: Bác sĩ có kinh nghiệm sẽ thực hiện nhanh gọn, chính xác, giảm cảm giác khó chịu.
Thực tế: Trong quá trình nhổ, bạn hầu như không cảm thấy đau nhờ thuốc tê. Sau khi thuốc tê hết tác dụng (khoảng 2-4 giờ), bạn có thể cảm thấy hơi ê ẩm hoặc sưng nhẹ, nhưng tình trạng này thường giảm sau 2-3 ngày nếu tuân thủ hướng dẫn chăm sóc của bác sĩ. Các loại thuốc giảm đau sẽ được kê đơn để hỗ trợ.
Mẹo giảm đau sau nhổ răng khôn:
- Chườm lạnh trong 24 giờ đầu để giảm sưng.
- Uống thuốc theo chỉ định của bác sĩ.
- Tránh ăn nhai ở vùng răng mới nhổ, không dùng ống hút hoặc chọc vào vết thương.
- Vệ sinh răng miệng nhẹ nhàng bằng nước muối sinh lý.
Nhổ Răng Khôn Giá Bao Nhiêu Tiền?
Chi phí nhổ răng khôn tại Hà Nội dao động tùy thuộc vào nhiều yếu tố, bao gồm:
- Vị trí răng: Răng khôn hàm trên dễ nhổ hơn hàm dưới, nên chi phí thường thấp hơn.
- Tình trạng răng: Răng mọc thẳng có giá thấp hơn răng mọc lệch hoặc mọc ngầm.
- Công nghệ sử dụng: Nhổ bằng công nghệ Piezotome thường đắt hơn phương pháp truyền thống.
- Nha khoa thực hiện: Các nha khoa uy tín với bác sĩ chuyên môn cao và thiết bị hiện đại thường có giá cao hơn nhưng đảm bảo an toàn và hiệu quả.
Bảng giá nhổ răng khôn tham khảo tại Hà Nội (cập nhật 2025):
- Nhổ răng khôn mọc thẳng: 800.000 – 1.500.000 VNĐ/răng.
- Nhổ răng khôn mọc lệch mức 1: 1.500.000 – 2.500.000 VNĐ/răng.
- Nhổ răng khôn mọc lệch mức 2-3: 2.500.000 – 3.500.000 VNĐ/răng.
- Nhổ răng khôn mọc ngầm hoặc phức tạp: 3.500.000 – 5.000.000 VNĐ/răng.
- Nhổ răng bằng công nghệ Piezotome: 2.000.000 – 5.000.000 VNĐ/răng.
Lưu ý: Giá trên chưa bao gồm chi phí điều trị trước nhổ (nếu cần, như lấy cao răng, điều trị viêm nha chu) và có thể thay đổi tùy nha khoa. Hãy đến khám trực tiếp để nhận báo giá chính xác.
Địa Chỉ Nhổ Răng Khôn Uy Tín Tại Hà Nội – Gợi Ý Nha Khoa Navii
Khi tìm địa chỉ nhổ răng khôn tại Hà Nội, bạn nên ưu tiên các nha khoa có đội ngũ bác sĩ giàu kinh nghiệm, công nghệ hiện đại, và quy trình vô trùng đạt chuẩn. Nha khoa Navii (42 Cửa Đông, Hoàn Kiếm, Hà Nội) là một trong những địa chỉ hàng đầu được khách hàng đánh giá cao nhờ chất lượng dịch vụ và công nghệ tiên tiến.
Tại sao nên chọn Nha khoa Navii để nhổ răng khôn?
- Công nghệ Piezotome hiện đại: Sử dụng sóng siêu âm để nhổ răng nhẹ nhàng, giảm đau, ít chảy máu, và rút ngắn thời gian hồi phục.
- Đội ngũ bác sĩ chuyên môn cao: Các bác sĩ tại Navii được đào tạo bài bản tại Việt Nam và quốc tế, có nhiều năm kinh nghiệm xử lý các ca nhổ răng khôn từ đơn giản đến phức tạp.
- Cơ sở vật chất đạt chuẩn: Phòng khám được trang bị máy móc nhập khẩu, quy trình vô trùng nghiêm ngặt, đảm bảo an toàn tuyệt đối.
- Chi phí minh bạch: Navii công khai bảng giá nhổ răng khôn, dao động từ 1.200.000 – 5.000.000 VNĐ/răng, tùy tình trạng răng và phương pháp áp dụng. Thường xuyên có ưu đãi cho khách hàng đặt lịch sớm.
- Dịch vụ chăm sóc tận tâm: Tư vấn kỹ lưỡng trước và sau nhổ răng, hỗ trợ khách hàng qua hotline 24/7.
- Bảo hiểm linh hoạt: Navii là đối tác của nhiều công ty bảo hiểm, giúp khách hàng tiết kiệm chi phí.
Thông tin liên hệ Nha khoa Navii:
- Địa chỉ: 42 Cửa Đông, Hoàn Kiếm, Hà Nội
- Hotline: 0936 900 033
- Website: navii.vn
- Thời gian làm việc: 8:00 – 18:00 (Thứ 2 – Chủ nhật)
Đánh giá: Nha khoa Navii được khách hàng đánh giá cao nhờ quy trình nhổ răng khôn không đau, bác sĩ tận tâm, và thời gian hồi phục nhanh. Đây là lựa chọn lý tưởng cho những ai muốn nhổ răng khôn an toàn và hiệu quả.
Lưu Ý Khi Nhổ Răng Khôn Tại Hà Nội
- Chọn nha khoa uy tín: Ưu tiên các cơ sở có giấy phép hoạt động, bác sĩ giàu kinh nghiệm, và công nghệ hiện đại như Nha khoa Navii.
- Thăm khám trước nhổ: Chụp X-quang để đánh giá vị trí răng khôn, từ đó bác sĩ sẽ tư vấn phương pháp phù hợp.
- Tuân thủ chăm sóc sau nhổ: Tránh ăn đồ cứng, nóng, hoặc lạnh trong 24-48 giờ đầu; không súc miệng mạnh; tái khám đúng lịch.
- Theo dõi dấu hiệu bất thường: Nếu sưng đau kéo dài, sốt cao, hoặc chảy máu nhiều, liên hệ ngay với nha khoa.
Kết Luận
Nhổ răng khôn không quá đau nếu được thực hiện bởi bác sĩ chuyên môn cao và công nghệ hiện đại như Piezotome. Chi phí nhổ răng khôn tại Hà Nội dao động từ 800.000 – 5.000.000 VNĐ/răng, tùy vào tình trạng răng và nha khoa. Nha khoa Navii (42 Cửa Đông, Hoàn Kiếm, Hà Nội) là địa chỉ uy tín với công nghệ tiên tiến, đội ngũ bác sĩ giỏi, và chi phí hợp lý. Hãy liên hệ hotline 0936 900 033 để đặt lịch khám và trải nghiệm dịch vụ chất lượng chuẩn quốc tế!
Sources: nhakhoakim.com, bookingcare.vn, nhakhoaparkway.com

EN

