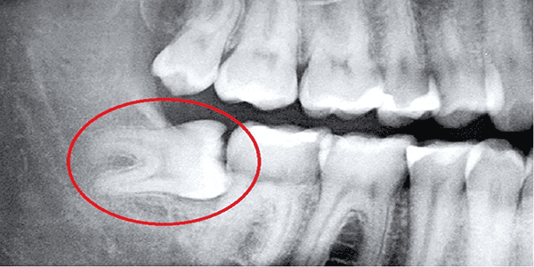
Răng khôn, hay còn gọi là răng số 8, là chiếc răng mọc cuối cùng trên cung hàm và thường xuất hiện ở độ tuổi trưởng thành (17-25 tuổi). Tuy nhiên, không phải ai cũng may mắn có răng khôn mọc thẳng và đúng vị trí. Tình trạng răng khôn mọc lệch, mọc ngầm không[…]
Tag Archives: biến chứng răng khôn
Răng khôn (hay răng số 8) là những chiếc răng mọc cuối cùng trên cung hàm, thường xuất hiện ở độ tuổi từ 17 đến 25. Hầu hết mọi người đều cảm thấy lo lắng khi nhắc đến chiếc răng này và băn khoăn “Có nên nhổ răng khôn không?”. Theo các chuyên gia nha[…]

EN